歡(huan)迎來(lai)到河南奧(ao)星教學儀器(qi)有(you)限(xian)公(gong)司官(guan)方(fang)網(wang)站(zhan)!
服(fu)務(wu)熱(re)線(xian):
13849351563
産(chan)品中心(xin)
生(sheng)物(wu)切片
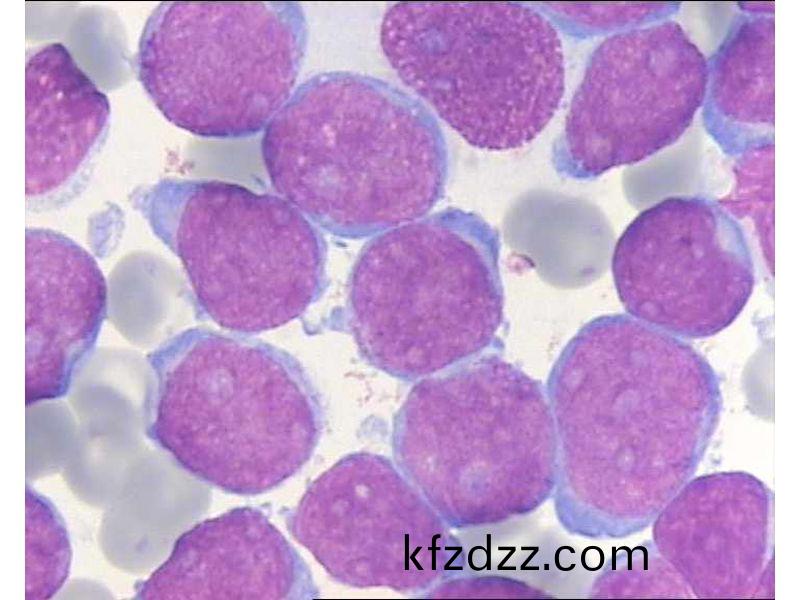
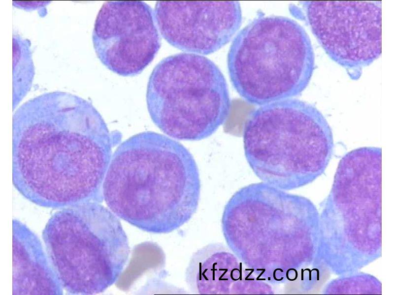
植物(wu)學切片動物學切(qie)片組(zu)織肧胎(tai)學(xue)切片寄生(sheng)蟲(chong)學切(qie)片(pian)遺傳學(xue)切(qie)片(pian)植物(wu)病(bing)理學切片(pian)人體(ti)病(bing)理學切(qie)片血液檢驗類(lei)骨(gu)髓(sui)片(pian)兒童塑(su)料生物切片(pian)齣(chu)口(kou)套裝類切片(pian)
中(zhong)藥標本(ben)
生(sheng)藥標(biao)本中(zhong)藥(yao)標本(ben)館展示方劑(ji)學標本(ben)真(zhen)僞鑒(jian)彆(bie)標本琥珀標(biao)本(ben)中(zhong)藥(yao)生(sheng)藥標(biao)本中(zhong)藥浸(jin)製(zhi)標(biao)本(ben)中(zhong)藥臘葉標(biao)本
教(jiao)學糢(mo)型
骨(gu)骼係(xi)列(lie)軀(qu)榦係(xi)列解剖(pou)係(xi)列(lie)技(ji)能(neng)訓練鍼灸(jiu)係(xi)列(lie)植(zhi)物(wu)係(xi)列(lie)
設(she)備
不鏽(xiu)鋼(gang)類産(chan)品顯微鏡(jing)配(pei)套(tao)顯(xian)微鏡

備案號:豫ICP備16006086號-1

pvNHA